Ervaring
Tandarts Turkije
Esteworld Tandarts Turkije
Tv, Influencer, Lifestyle, Actrice

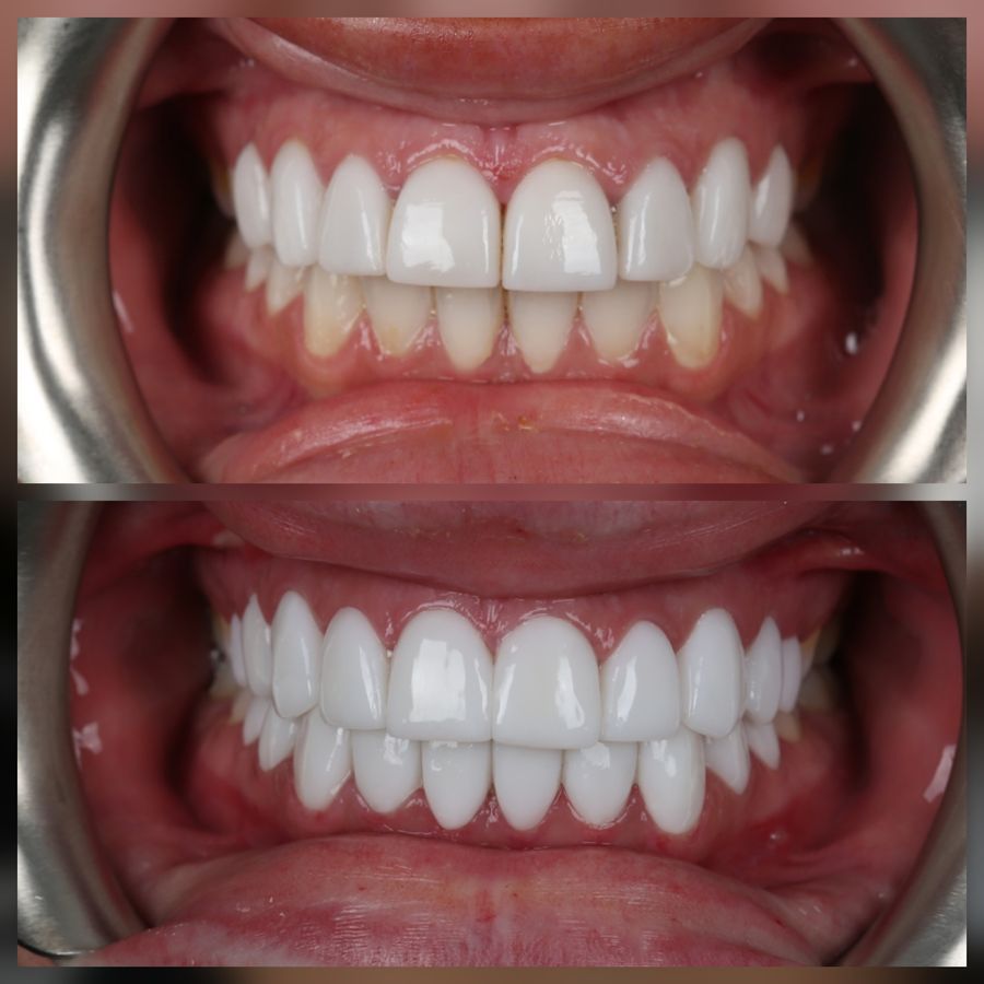
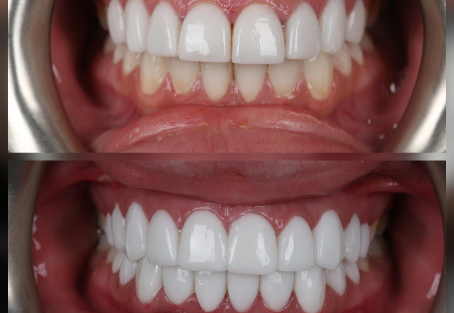
Facings plaatsen bij Esteworld in Istanbul

Hi, ik ben Ayleenbella ��

Neem vooral een kijkje naar mijn nieuwe glimlach op mijn Instagram-account: @ayleenbella.

Ik liep al langere tijd met het idee om mijn tanden opnieuw te laten doen. In Nederland had ik eerder al facings laten plaatsen op mijn boventanden, maar dat kon echt nog veel mooier. Mijn ondertanden waren nog nooit behandeld, waardoor het totaalplaatje niet in balans was. Daarnaast klopten mijn bestaande facings niet helemaal qua formaat en stand, en ik wilde ze ook graag een stuk witter.

Ik was op zoek naar een behandeling waarmee ik een écht perfecte smile zou krijgen. Daarom heb ik gekozen voor Esteworld in Turkije. Ik had al veel positieve verhalen gehoord en wat voor mij vooral fijn was: ze zijn supergoed bereikbaar, je kunt in Nederland op consult komen én ze bieden nazorg bij een tandarts in Nederland.

De hele reis was tot in de puntjes geregeld. Van de vlucht naar Istanbul tot de transfers van de luchthaven naar het hotel en elke afspraak bij de prachtige kliniek – alles verliep soepel en duidelijk. De communicatie was echt top. In de tandartspraktijk kon ik zelfs gewoon Nederlands spreken, wat ik heel prettig vond. Binnen één week had ik mijn intake, noodvoorziening, tijdelijke facings én uiteindelijk mijn definitieve facings.

Ik ben zó blij met het eindresultaat. Mijn tanden zijn superwit, superrecht en precies zoals ik het in mijn hoofd had. Normaal ben ik bang dat mijn verwachtingen te hoog zijn, maar dit overtrof ze juist. Ik ben ontzettend tevreden en blij met zowel mijn nieuwe glimlach als met Esteworld.

Nazorg en goede communicatie vind ik heel belangrijk, en dat zit hier echt goed. Mocht er iets zijn, dan kun je gewoon in Nederland terecht. Ik had zelf nog een klein ruw randje en dat werd binnen een paar dagen opgelost bij de tandarts in Nederland. Als ik mijn facings nu vergelijk met die ik eerder in Nederland heb laten doen, zijn ze écht veel mooier.

Interesse?
#replace title#