Ik heb weer een keurig gebit
Ervaringsverslag van Cindy – Kronen laten zetten bij Esteworld in Turkije
Mijn naam is Cindy en ik wil graag mijn ervaring delen over mijn tandartsbehandeling bij Esteworld in Turkije. Via mijn schoonzoon, die Esteworld via via had aanbevolen gekregen, kwam ik in contact met deze kliniek. Na lang nadenken besloot ik de stap te zetten en ben ik ontzettend blij met het resultaat!
Vooronderzoek in Nederland
Voordat ik naar Turkije vertrok, werd er een uitgebreid vooronderzoek gedaan op het kantoor van Esteworld in Nederland. Hier werd een röntgenfoto gemaakt om een duidelijk beeld te krijgen van mijn gebit en de mogelijkheden voor de behandeling. Dit gaf mij een enorm geruststellend gevoel, omdat:
- Ik vooraf al wist wat mij te wachten stond en welke behandeling het beste bij mij paste.
- De tandartsen in Turkije hierdoor goed voorbereid waren en direct met de juiste aanpak konden starten.
- Ik niet voor onverwachte kosten of complicaties kwam te staan, omdat alles van tevoren duidelijk werd besproken.
Duidelijk consult en behandelplan
Bij aankomst in Turkije werd ik hartelijk ontvangen door het team van Esteworld. Tijdens mijn eerste consult werd alles nogmaals helder uitgelegd. De tandarts nam uitgebreid de tijd om de röntgenfoto’s door te nemen en met mij te bespreken welke stappen we zouden doorlopen. Dit gaf mij veel vertrouwen in de behandeling. Er was ruimte om vragen te stellen en eventuele twijfels te bespreken, waardoor ik met een gerust hart aan de behandeling kon beginnen.
De behandeling – Kronen laten zetten
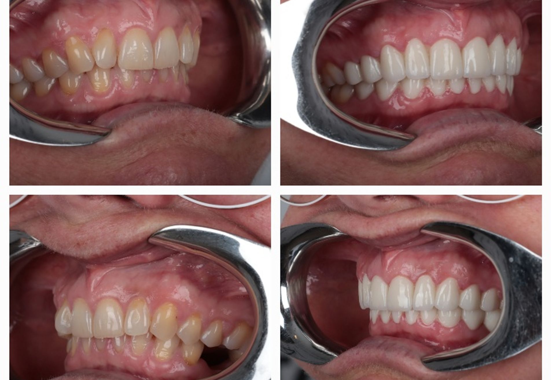
De behandeling zelf verliep professioneel en pijnloos. De tandarts en het team waren zeer kundig en stelden mij steeds op mijn gemak. Mijn oude tanden werden zorgvuldig voorbereid, waarna de kronen werden geplaatst. Het eindresultaat is prachtig! Mijn gebit ziet er weer stralend uit en voelt natuurlijk aan.
Nazorg
Bij thuiskomst had kan je voor vragen heel goed bij Esteworld terecht. Ik had een stukje dat niet helemaal lekker beet. Dit is via de Esteworld tandarts in Nederland kosteloos en snel op gelost.
Conclussie
Ik ben ontzettend blij dat ik voor Esteworld heb gekozen en raad het iedereen aan die een tandheelkundige behandeling overweegt. Dankzij de goede voorbereiding in Nederland en de professionele zorg in Turkije heb ik een zorgeloze en succesvolle ervaring gehad!


